Erken tanı
- Nis- 2025 -10 NisanSAĞLIK

Safra Kesesi Ağrısına Karşı Etkili Yöntemler
Safra kesesi ağrısını hafifletmek için doğru uyku pozisyonlarını, evde uygulayabileceğiniz doğal çözümleri ve ne zaman doktora görünmeniz gerektiğini öğrenin.
Devamını Oku » - 8 NisanSAĞLIK

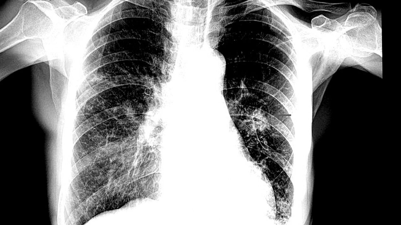
En Tehlikeli Akciğer Hastalıkları! Hayat Tehdit Eden 8 Kritik Durum
Akciğer hastalıkları, erken tanı ve doğru tedavi ile yönetilebilen, ancak tedavi edilmezse ciddi sonuçlar doğurabilen hastalıklardan. Bu hastalıklarla mücadelede erken…
Devamını Oku » - 7 NisanSAĞLIK

Sinsice Yaklaşan Tehlike: Gizli Şeker
Gizli şeker, tedavi edilmezse diyabete yol açabilecek önemli bir sağlık sorunu. Erken tanı ve yaşam tarzı değişiklikleriyle şeker hastalığına dönüşmesini…
Devamını Oku » - 1 NisanSAĞLIK

Felç ve Ölüm Riski Taşıyor! Pıhtı Atmasında Erken Tanı Hayat Kurtarıyor
Beyinde pıhtı atması, felç ve ölüm riski taşıyan ciddi bir sağlık sorunu. Erken tanı, doğru tedavi ve sağlıklı yaşam biçimi…
Devamını Oku » - Mar- 2025 -23 MartSAĞLIK

Karaciğer yağlanması önlenebilir! Teşhis, sebepler ve tedavi yöntemleri
Karaciğer yağlanması, alkol ve sağlıksız yaşam tarzı sonucu gelişebilir. Erken tanı, düzenli egzersiz ve sağlıklı beslenme ile karaciğer sağlığı korunabilir.
Devamını Oku » - 17 MartSAĞLIK

Akciğer kanserinin en sinsi belirtileri! Ölüme en çok yol açan kanser türü
Erken belirti ve evreler hakkında bilgi sahibi olmak hayati önem taşıyor
Devamını Oku » - Şub- 2025 -15 ŞubatErzincan

Çocukluk çağı kanserleri hakkında dünya çapında bir kampanya yürütülüyor
15 Şubat Uluslararası Çocukluk Çağı Kanserleri Günü: Erken Tanı Hayat Kurtarır
Devamını Oku » - 5 Şubat
- Kas- 2024 -14 KasımSAĞLIK

Diyabeti önlemenin 6 altın kuralı!
Diyabetin erken tanısı ve önlenmesi için önemli altın kuralları keşfedin. Sağlıklı beslenme, egzersiz, düzenli sağlık kontrolleri ve ayak bakımı gibi…
Devamını Oku »








